Cabinet dentaire du Dr DJEBALI Centre médical O'Parinor
Chirurgien-Dentiste à Aulnay-sous-Bois
Cabinet dentaire du Dr DJEBALI Centre médical O'Parinor
Chirurgien-Dentiste à Aulnay-sous-Bois

Centre commercial O'Parinor
93600 AULNAY SOUS BOIS

+33 1 48 63 55 55

Blog - Page 4

Fixation d’une prothèse par une barre sur 2 implants

Fixation d’une prothèse par une barre sur 2 implants

Allongement coronaire

Allongement coronaire

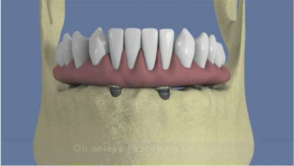
Mandibule complète et traitement implantaire pour un bridge fixe scellé

Mandibule complète et traitement implantaire pour un bridge fixe scellé

Eclaircissement ambulatoire

Eclaircissement ambulatoire

Comblement de sinus par voie latérale (sinus lift) avec implantation différée

Comblement de sinus par voie latérale (sinus lift) avec implantation différée

Votre expérience des traitements : 20 ans d'évolution

Votre expérience des traitements : 20 ans d'évolution

Affichage des articles 19-24 sur 187